Niềng răng mắc cài cánh cam
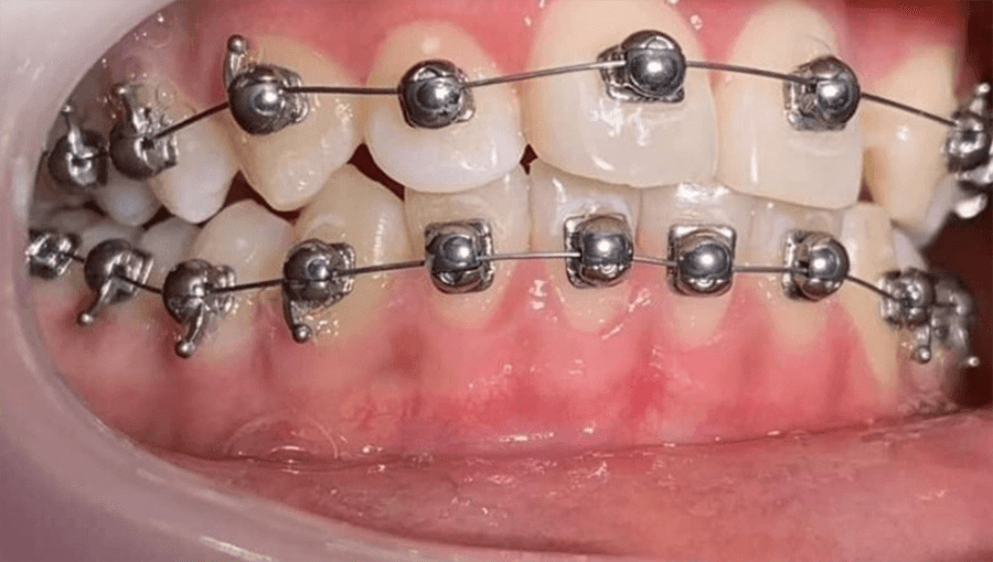
Mắc cài cánh cam là thiết kế mới với phần đế hình cánh cam, bo cạnh. Mắc cài tác động nhẹ nhàng vào răng, giúp răng di chuyển đến vị trí mong muốn một cách hiệu quả. Mắc cài cánh cam được làm từ hai loại vật liệu chính, đó là sứ và kim loại.

Mắc cài cánh cam - công nghệ niềng răng tiên tiến hiện nay
Vì sao phương pháp niềng răng mắc cài cánh cam được nhiều người ưa chuộng?
Niềng răng mắc cài cánh cam là phương pháp không quá mới nhưng là lựa chọn tối ưu. Mắc cài cánh cam được thiết kế nhỏ gọn, bo góc, bề mặt trơn nhẵn, không gây cộm vướng hay đau đớn, không làm xước niêm mạc miệng hay lưỡi
như các mắc cài kim loại thông thường,
Niềng răng mắc cài cánh cam có tốt không?
Mắc cài cánh cam hiện đang là lựa chọn của nhiều Cô Chú, Anh Chị. Mắc cài cánh cam được làm từ chất liệu cao cấp, đảm bảo an toàn cho sức khỏe răng miệng. Đặc biệt không gây kích ứng nướu, viêm lợi, tụt lợi giúp quá trình niềng răng diễn ra nhanh chóng, tăng hiệu quả điều trị.
Cách phân biệt mắc cài cánh cam và mắc cài sứ, mắc cài kim loại
- Mắc cài cánh cam: làm từ sứ hoặc kim loại, thiết kế mới với phần đế hình cánh cam, bo cạnh.không gây cộm vướng hay đau đớn, không làm xước niêm mạc miệng hay lưỡi. Mắc cài này không có độ thẩm mỹ cao nhưng thời gian niềng được rút ngắn
- Mắc cài sứ: làm từ sứ, có giá thành cao hơn mắc cài cánh cam. Khách hàng tự tin với độ thẩm mỹ của mắc cài sứ. Ngoài ra mắc cài sứ khả năng ít gây kích ứng.
- Mắc cài kim loại: làm từ kim loại tuy bền chắc, tiết kiệm hơn nhưng lại ít thẩm mỹ. Ngoài ra, mắc cài kim loại dễ làm tổn thương lưỡi, má do mắc cài.
Ưu điểm của phương pháp mắc cài cánh cam là gì
Mắc cài cành cam giúp khắc phục những tình trạng phiền toái mà mắc cài thông thường có thể gây ra. Dưới đây là những ưu điểm của phương pháp mắc cài cánh cam:
Thiết kế nhỏ gọn, không gây cộm vướng
Ưu điểm hàng đầu của mắc cài cánh cam là thiết kế khá nhỏ gọn, bề mặt trơn nhẵn, nên trong quá trình niềng răng không bị cộm vướng, khó chịu như các mắc cài kim loại thông thường, đặc biệt là không làm xước niêm mạc miệng hay lưỡi.
Khả năng vệ sinh răng miệng dễ dàng
Khi niềng răng mắc cài cánh cam, khách hàng sẽ không tốn quá nhiều thời gian để vệ sinh răng miệng. Bởi vì bề mặt của mắc cài cánh cam trơn nhẵn, không tích tụ, bám dính quá nhiều thức ăn thừa, mảng bám nên răng luôn sạch sẽ và không có mùi hôi, hạn chế sâu răng, viêm nha chu,...

Niềng răng mắc cài cánh cam dễ dàng vệ sinh răng miệng
An toàn với sức khỏe răng miệng
Trong quá trình niềng răng mắc cài cánh cam sẽ không gặp phải hiện tượng kích ứng nướu, dị ứng, tụt lợi, giúp quá trình phục hồi diễn ra nhanh chóng.
Ít bị bong tróc, gãy vỡ
Mắc cài cánh cam sử dụng chất liệu cao cấp, làm tăng hiệu quả điều trị, giảm thiểu tình trạng mắc cài bị bong tróc hay gãy vỡ
Hiệu quả điều trị cao hơn so với niềng răng truyền thống
Chất liệu Titan cao cấp kết hợp với rãnh sâu của mắc cài cánh cam giúp giữ chặt dây cung, tăng khả năng chịu lực vượt trội, tối ưu hóa quá trình dịch chuyển răng. Thời gian niềng có thể nhanh hơn 30% so với phương pháp niềng răng truyền thống. Điều này giúp giảm chi phí điều trị cho khách hàng.
Đa dạng kích thước, phù hợp nhiều dáng răng
Phương pháp niềng răng mắc cài cánh cam phù hợp với nhiều dáng răng, tình trạng răng, từ lệch lạc nhẹ cho đến các ca phức tạp như hô, móm, thưa,...
Nhược điểm của phương pháp niềng răng mắc cài cánh cam là gì
Ngoài những ưu điểm được nêu ở trên thì phương pháp niềng răng mắc cài cánh cam cũng có những nhược điểm như:
Đòi hỏi kỹ thuật cao
Phương pháp này đòi hỏi bác sĩ niềng răng phải có tay nghề cao, kỹ thuật thực hiện tốt để tránh gặp phải tình trạng bong tróc mắc cài hoặc răng dịch chuyển không đúng vị trí trong quá trình niềng
Hạn chế về thẩm mỹ
Dù hiệu quả điều trị cao nhưng phương pháp niềng răng mắc cài cánh cam vẫn lộ rõ mắc cài trên răng khi giao tiếp, nhất là khi cười hoặc nói. Mắc cài cánh cam khiến khách hàng cảm thấy kém thẩm mỹ so với các phương pháp niềng răng trong suốt, mắc cài sứ..
Đối tượng nào thích hợp niềng răng mắc cài cánh cam
- Người có tình trạng răng lệch lạc nhẹ: mắc cài cánh cam có thể điều chỉnh răng khểnh, răng hô, răng móm, răng thưa….
- Người muốn niềng răng hiệu quả với mức chi phí trung bình: niềng răng mắc cài cánh cam không tốn quá nhiều chi phí như các phương pháp niềng răng khác
- Người không ngại bị lộ mắc cài: mắc cài cánh cam có thể thấy rõ khi giao tiếp nên khách hàng có thể cân nhắc lựa chọn

Nếu không ngại lộ mắc cài có thể sử dụng phương pháp niềng răng này
Quy trình niềng răng mắc cài cánh cam
Cô Chú, Anh Chị khi tham gia niềng răng mắc cài cánh cam sẽ được thăm khám và điều trị niềng răng chuẩn Y khoa theo 6 bước
Bước 1: Khám và tư vấn
Bác sĩ tiến hành lấy dấu mẫu hàm và chụp phim X-Quang để kiểm tra cấu trúc răng, nướu và xương hàm. Sau đó, Cô Chú, Anh Chị sẽ được thăm khám tình trạng răng miệng và lựa chọn phương pháp niềng răng mắc cài cánh cam.
Bước 2: Lập phác đồ điều trị chi tiết
Bác sĩ tiến hành phân tích phim X-Quang và mẫu hàm sau đó tư vấn kế hoạch điều trị, thời gian, chi phí niềng răng .
Bước 3: Ký hợp đồng niềng răng
Sau khi khách hàng quyết định niềng răng sẽ tiến hành ký hợp đồng cam kết niềng răng, nha khoa sẽ chịu trách nhiệm về hiệu quả niềng răng.
Bước 4: Điều trị tổng quát trước khi niềng răng
Bác sĩ tiến hành kiểm tra, nếu Cô Chú, Anh Chị mắc các bệnh về răng như sâu răng, viêm nha chu, cạo vôi răng… sẽ được điều trị triệt để, tránh các bệnh lý răng phát sinh nặng hơn trong suốt quá trình niềng răng.
Bước 5: Điều trị niềng răng
Bác sĩ tiến hành gắn mắc cài, hướng dẫn cách chăm sóc và bảo vệ răng miệng. Hẹn lịch tái khám định kỳ từ 2 - 4 tuần/lần để điều chỉnh lực di chuyển răng.
Bước 6: Kết thúc điều trị - Duy trì kết quả
Hàm răng được niềng hoàn chỉnh, bác sĩ sẽ tháo mắc cài và cho khách hàng sử dụng hàm duy trì để răng không bị chạy lại.
6 yếu tố nào ảnh hưởng đến chi phí niềng răng mắc cài cánh cam
Chi phí niềng răng mắc cài cánh cam phụ thuộc vào nhiều yếu tố khác nhau. Dưới đây là 6 yếu tố Cô Chú, Anh Chị có thể tham khảo:
Mức độ lệch giữa các răng
Nếu răng lệch lạc nghiêm trọng quá trình điều trị sẽ tốn nhiều thời gian và công sức hơn. Trường hợp răng bị hô, móm hay sai khớp cắn nặng cần thực hiện nhiều thủ thuật chỉnh sửa phức tạp, chi phí sẽ tăng lên. Nếu phẫu thuật chỉnh hàm, chi phí sẽ đội lên nhiều hơn.
Tình trạng sức khỏe răng miệng
Nếu tình trạng sức khỏe răng miệng không đảm bảo, răng bị sâu, viêm nướu… cần điều trị trước khi niềng răng. Các chi phí điều trị này sẽ được cộng thêm vào chi phí niềng răng.
Chuyên môn của bác sĩ
Khi niềng răng, khách hàng thường có xu hướng chọn bác sĩ có tiếng, tay nghề cao để rút ngắn thời gian điều trị và đảm bảo kết quả chính xác. Tuy nhiên, bác sĩ có uy tín và chuyên môn cao thường có mức phí dịch vụ cao hơn so với những bác sĩ khác dẫn đến chi phí niềng răng cao hơn.
Chất liệu của mắc cài cánh cam
Tùy vào lựa chọn của khách hàng, nếu chọn chất liệu sứ sẽ có giá thành cao hơn chất liệu kim loại. Chất liệu sứ ít gây kích ứng, thẩm mỹ cao, còn mắc cài kim loại tuy bền chắc hơn nhưng lại ít thẩm mỹ.
Độ tuổi của khách hàng
Những người lớn tuổi việc niềng răng sẽ tốn nhiều thời gian và chi phí hơn. Nguyên nhân là răng và xương hàm đã phát triển hoàn thiện, nằm cứng chắc trên cung hàm, khó nắn chỉnh răng dịch chuyển về đúng vị trí mong muốn. Ngoài ra, những người lớn tuổi răng dễ bị lão hóa như lợi bị sưng, ê buốt răng, viêm lợi… phải điều trị trước khi tiến hành niềng răng
Đơn vị nha khoa uy tín
Mỗi nha khoa sẽ có mức giá niềng răng mắc cài cánh cam khác nhau. Nha khoa uy tín thường có mức giá cao hơn vì phòng khám lớn, đội ngũ bác sĩ giỏi… sẽ đảm bảo về chất lượng dịch vụ và hiệu quả điều trị.
Các bước hướng dẫn cách chăm sóc răng miệng sau khi niềng răng mắc cài cánh cam
Sử dụng bàn chải mềm
Nên tập thói quen đánh răng 2 lần/ngày với bàn chải lông mềm. Chải theo chiều từ trên xuống hoặc chải theo vòng tròn nhẹ nhàng, bàn chải nghiêng góc 45 độ về phía lợi để loại bỏ thức ăn thừa.
Nên sử dụng thêm bàn chải kẽ, có đầu nhỏ để làm sạch các kẽ răng và mặt bên của các mắc cài.
Đánh răng với kem đánh răng chứa Fluor
Sử dụng kem đánh răng chứa Fluor để bảo vệ men răng, ngăn ngừa sâu răng. Ngoài ra, Fluor còn giúp tái khoáng hóa những phần men răng tổn thương mà chưa hình thành lỗ sâu.
Sử dụng chỉ tơ nha khoa
Sử dụng chỉ nha khoa để lấy đi phần thức ăn thừa ở các kẽ răng, giúp hạn chế việc sâu răng ở kẽ răng và mặt bên của các răng. Nên dùng chỉ tơ nha khoa ít nhất 1 lần mỗi ngày hoặc sau khi ăn xong.
Sử dụng thêm nước súc miệng
Ngoài việc chải răng và dùng chỉ nha khoa, có thể dùng thêm nước súc miệng để làm sạch hoàn toàn mảng bám và khoang miệng. Nước súc miệng chứa Fluor ngăn ngừa sâu răng, viêm lợi.
Sử dụng tăm nước
Ngoài ra, có thể dùng tăm nước để làm sạch kẽ răng, dây cung và mắc cài một cách tối ưu. Đây cũng là một bước làm sạch răng hiệu quả và được các nha sĩ khuyên nên sử dụng.
Tái khám định kỳ
Quá trình niềng răng mắc cài cánh cam thường kéo dài từ 1 đến 2 năm. Cô Chú, Anh Chị nên đi khám răng định kỳ theo lịch hẹn, đồng thời lấy vôi răng thường xuyên. Nếu để cao răng tích tụ quá nhiều cũng là nguyên nhân gây viêm lợi, tạo điều kiện cho vi khuẩn phát triển
Nên niềng răng mắc cài cánh cam ở đâu tốt
Hiện nay có nhiều nha khoa có dịch vụ thực hiện niềng răng cánh cam. Khách hàng có thể lựa chọn, so sánh giá cả trước khi quyết định niềng răng. Tuy nhiên, đừng chỉ chú trọng vào giá rẻ mà bỏ qua chất lượng dịch vụ.
Nha khoa Asia sở hữu đội ngũ Bác sĩ với kinh nghiệm và chuyên môn niềng răng cao, kỹ thuật chỉnh nha tốt. Ngoài ra, Nha khoa còn sử dụng vật liệu chính hãng, trang thiết bị, công nghệ tân tiến nên tỷ lệ an toàn và thành công của ca điều trị cũng được đảm bảo hơn.
Đăng ký gói khám
Điền thông tin để nhận tư vấn và đặt lịch ngay!
Giá trọn gói
Giá gốc: 43,989,000đ
36,989,000đ